[ad_1]
Compared with other antihypertensive agents, the use of beta blockers, angiotensin-converting enzyme (ACE) inhibitors, and angiotensin receptor blockers (ARBs) is associated with benefits in the long-term treatment of aortic dissection, a new study concludes.
In the retrospective cohort study of almost 7000 patients, the risk for all-cause mortality was lower among patients prescribed an ACE inhibitor, an ARB, or a beta blocker than among those prescribed other antihypertensive agents.
In addition, the risk for all-cause mortality was lower in the ARB group than in the ACE inhibitor group in long-term follow-up.
The study, from researchers in Taiwan, was published online March 3 in JAMA Network Open.
“In aortic dissection, long-term medical therapy is usually prescribed to decrease the stress on the aortic wall and prevent aortic expansion or rupture,” write Shao-Wei Chen, MD, PhD, Chang Gung University, Taoyuan City, Taiwan, and colleagues.
But such therapy is still based on observational studies and expert opinion, the authors note.
Guidelines from the European Society of Cardiology (ESC), American College of Cardiology/American Heart Association (ACC/AHA), and Japanese Circulation Society (JCR) recommend beta blockers for the initial management of acute aortic dissection, they write.
And yet, “no randomized clinical trial has compared the effects of long-term treatment with beta blockers, ACE inhibitors, or ARBs with those of other antihypertensive medications,” Chen and colleagues write.
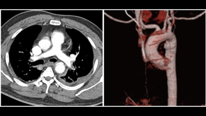
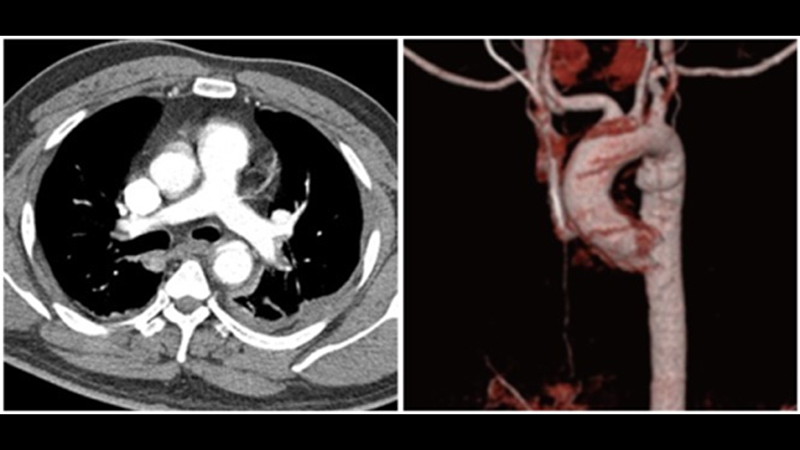
Their population-based retrospective cohort study used Taiwan’s National Health Insurance Research Database and included 6978 adult patients with a first-ever aortic dissection who survived to hospital discharge between January 1, 2001, and December 31, 2013.
Most patients (3492) received a beta blocker, 1729 received an ACE inhibitor or ARB, and 1757 patients received another antihypertensive drug. This third group served as controls.
Use of ACE inhibitors, ARBs, or beta blockers were all associated with a lower risk for all-cause mortality and hospital readmission due to any cause when compared with use of other antihypertensives in the control group.
In the ACE inhibitor or ARB groups, the hazard ratio [HR] for all-cause mortality was 0.79 (95% CI, 0.71 – 0.89), and in the beta blocker group, it was 0.82 (95% CI, 0.73 – 0.91), compared with the control group.
Also compared with controls, the risk for hospital readmission was significantly lower in the ACE inhibitor or ARB groups (HR, 0.92; 95% CI, 0.84 – 0.997) and in the beta blocker group (HR, 0.87; 95% CI, 0.81 – 0.94).
In addition, the risk for all-cause mortality was lower in the ARB-treated group than in the ACE inhibitor-treated group (HR, 0.85; 95% CI, 0.76 – 0.95).
Much Needed Data
The results from this study confirm and support earlier recommendations from the ACC/AHA about the use of beta blockers for patients with aortic dissection, Paul Muntner, MD, professor of epidemiology, University of Alabama, Birmingham, told theheart.org | Medscape Cardiology.
Dr Paul Muntner
“The authors address an important issue in terms of preventing adverse cardiovascular outcomes and deaths among people who have aortic dissections. Lowering blood pressure is an important part of this, given that higher blood pressure could lead to recurrent events and deaths in this population,” noted Muntner, who was not involved with the research.
Data on the topic are limited, he added. “The ACC/AHA guideline did recommend beta blocker use for people following aortic dissections, but there’s never been a randomized trial in this area, because it would be very challenging to do. By using their national database, the authors were able to get a large sample, much larger than could be done in a randomized controlled trial, to study this topic,” he said.
The results of the study make sense biologically, Muntner added.
“You don’t want to activate the sympathetic nervous system, so the results of the study make biological sense, fit with current knowledge, and add to what has been very limited information about the link between long-term treatment of aortic dissection with different antihypertensive meds and late patient outcomes.”
The study was supported by grants from the Chang Gung Medical Research Project and the Ministry of Science and Technology, Taiwan. The study authors and Muntner have disclosed no relevant financial relationships.
JAMA Network Open. Published online March 3, 2021. Full text
For more from theheart.org | Medscape Cardiology, join us on Twitter and Facebook
[ad_2]
Source link











